「うちの子、最近足を引きずって歩いている気がする……」
「膝が痛いって言っているけど、これって成長痛かしら?」
そんなお子さんのちょっとした変化に、不安を感じている親御さんも多いはずです。
こんにちは。阿部整形外科クリニック院長の阿部です。
実は、「膝が痛い」と言っている子供の真犯人が、実は「股関節」にあるというケースが少なくありません。
特に今回お話しする「大腿骨頭すべり症」と「ペルテス病」は、発見が遅れるとお子さんの将来の歩行に大きな影響を及ぼす、非常に怖い病気です。
今日は、整形外科専門医・股関節専門医として、そして一人の大人として、お子さんの輝く未来を守るための大切なお話をします。

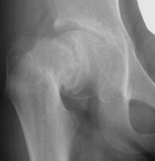
1. 思春期の「体格が良い子」は要注意!大腿骨頭すべり症
10歳〜15歳くらいの、少しふっくらとした体型の男の子に多く見られるのが「大腿骨頭すべり症(だいたいこっとうすべりしょう)」です。
- どんな病気?: 股関節の「頭(大腿骨頭)」が、成長板(骨が伸びる場所)からズレてしまう病気です。
- 見逃せないサイン: 「急に強い痛みが出て歩けなくなる(急性)」場合もあれば、「なんとなく足を引きずる、膝が痛い(慢性)」場合もあります。
「膝が痛い」と言っているのに膝の検査で異常がない場合、専門医は真っ先にこの病気を疑います。これは時間との勝負になることもあり、緊急で手術が必要になるケースも珍しくありません。

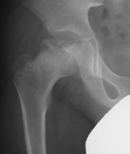
2. 低学年の活発な子に忍び寄る「ペルテス病」
もう一つ、4歳〜10歳くらいの活発な男の子に多いのが「ペルテス病」です。
- どんな病気?: 股関節の「頭」に血が通わなくなり、骨が壊死(えし)して潰れてしまう病気です。
- 見逃せないサイン: 運動した後に足を引きずる、股関節が硬くてあぐらがかけない、といった症状がじわじわと現れます。
「子供だからすぐに治るだろう」と放っておくと、骨が変形したまま固まってしまい、若いうちから「変形性股関節症」に苦しむことになってしまいます。

3. 「成長痛」という言葉で片付けないでください
親御さんにお願いがあります。お子さんの痛みを「成長痛」と自己判断しないでください。
「ご家族も、お子さんがスポーツを全力で楽しんでいる姿を見るのが一番の喜びですよね?」
成長痛は、基本的には「夜に痛がり、朝にはケロッとしている」ものです。
もし、昼間も足を引きずっていたり、痛みが数日続いたり、膝を痛がっているのに原因が分からない場合は、すぐに股関節専門医を受診してください。
「~できるようになるといいですよね!」
サッカーやダンスをまた思いっきり楽しめるように。お子さんの股関節の寿命を100年持たせるために。僕たち専門医が、最新のレントゲンやエコー、MRIを駆使して、小さなSOSを逃さずキャッチします。

阿部整形外科クリニックができること
お子さんの股関節疾患は、診断が非常に難しいこともあります。しかし、阿部整形外科クリニックには「股関節専門医」としての確かな目があります。
「僕だったら、自分の子供に少しでも違和感があれば、迷わず精密検査をします」
当院では、お子さんを怖がらせない優しい診察を心がけています。もし精密な加療が必要な場合は、責任を持って信頼できる大学病院等の専門医療機関へ橋渡しをします。
「心配、困ったらすぐに来てください。」
お子さんの「一歩」を守るために、全力を尽くします。

お子さんの股関節病に関するQ&A
Q:膝が痛いのに、どうして股関節の病気なんですか?
A:これは「連関痛(れんかんつう)」といって、股関節の神経の刺激が、膝の痛みとして脳に伝わってしまうことがあるからです。子供の膝痛の影に股関節病あり、というのは整形外科の世界では鉄則です。
Q:運動はすぐにやめさせたほうがいいですか?
A:足を引きずるような症状がある場合は、診断がつくまで一度運動を休止するのが安全です。まずは無理をさせず、診察を受けてください。
Q:ペルテス病は完治しますか?
A:早期に発見し、適切な負荷制限(装具や手術)を行えば、骨が再生して元通りに歩けるようになる可能性が非常に高い病気です。とにかく「早く見つけること」がすべてです。
「お子さんの足音、歩き方、いつもと違っていませんか?」
少しでも「おかしいな」と思ったら、それはお父さん・お母さんの大切な直感です。
その直感を信じて、阿部整形外科クリニックを受診してください。


