小学生に多い「大腿骨頭すべり症」とは?足のつけ根の痛みを見逃さないで

原因、症状

「体育のあとに足のつけねが痛い」

「なんだか歩き方が変」「片足を引きずっている気がする」そんな様子があったら、もしかすると「大腿骨頭すべり症(だいたいこっとうすべりしょう)」かもしれません。

この病気は、成長期の小学生〜中学生に多く見られる股関節の病気で、
早く見つけて治療を始めれば治せる病気です。
ただし、発見が遅れると将来的に股関節が変形してしまうリスクもあるため、注意が必要です。


大腿骨頭すべり症とは?

股関節は、太ももの骨(大腿骨)と骨盤のくぼみ(臼蓋)がはまり合ってできています。
成長期の子どもの場合、太ももの骨の先端「大腿骨頭(だいたいこっとう)」がまだ成長軟骨でできており、
 骨の成長と体重のバランスが崩れると、骨頭が後ろにずれてしまうことがあります。
これが「大腿骨頭すべり症」です。

特に、身長が急に伸びる時期や、体重が増え始めたころに起こりやすいといわれています。


どんな症状が出るの?

初期は痛みが軽く、子ども自身も「少し痛いけど歩ける」と思ってしまうことが多いです。
そのため、保護者が早く気づいてあげることが大切です。

  • 体育のあとに足のつけねや太ももが痛い
  • びっこを引くような歩き方をする
  • 階段の上り下りをいやがる
  • 靴下を履きにくい、しゃがみにくい
  • 片足を外に向けて歩くようになった

このようなサインがある場合は、できるだけ早く整形外科を受診しましょう。


放置するとどうなるの?

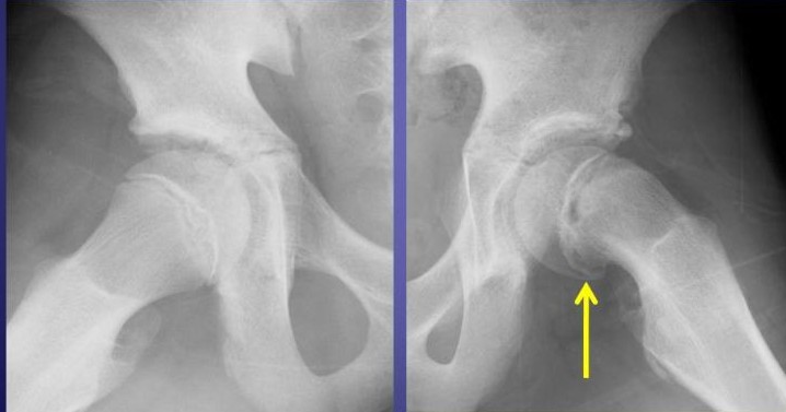
大腿骨頭すべり症を放っておくと、骨頭がどんどんずれていき、
骨が変形したり、血流が悪くなって壊死(えし)を起こすこともあります。

こうなると、成長後に変形性股関節症を発症するリスクが高くなります。
ですから、痛みが軽いうち・歩けるうちに、正しい診断を受けることが何より大事です。


診断のポイント

整形外科ではまず、レントゲン検査を行い、
大腿骨頭(だいたいこっとう)がどの程度ずれているかを確認します。
また、必要に応じてMRIで詳しく調べることもあります。

股関節の痛みがあっても「成長痛かな?」と思って放置すると、
気づいたときにはすでに進行しているケースも。
少しでも違和感があれば、受診をおすすめします。


治療法について

① 早期の軽症例では安静と装具で対応

すべりが軽い場合は、体重をかけないようにして安静にすることで進行を防ぎます。
松葉杖や装具を使うこともあります。

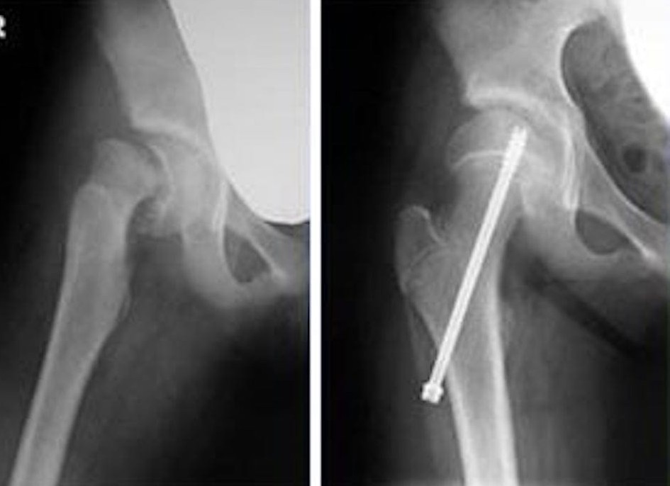
② 進行例では手術が必要なことも

骨が大きくずれている場合は、ピンやネジで骨を固定する手術が必要になります。
手術といっても比較的短期間で回復することが多く、
多くの子どもたちはその後、日常生活に戻ることができます。

③ リハビリ・再発予防も重要

手術や治療のあとも、股関節や体幹の筋力をしっかりつけることが再発防止につながります。
当院では、理学療法士が個別にリハビリを行い、成長期の運動をサポートしています。


よくある誤解:「成長痛」との違い

大腿骨頭すべり症は「成長期に起きる」ため、
一見すると「成長痛」と間違われることがあります。
しかし、成長痛との違いは明確です。

特徴 成長痛 大腿骨頭すべり症
痛む時間帯 夜・寝る前 歩くとき・運動時
痛む場所 両脚のふくらはぎ・すね 片側の股関節・太もも
症状の持続 一時的 徐々に悪化する
対処法 様子を見る 整形外科で精密検査が必要

「片足だけ」「歩くと痛い」という症状は、成長痛ではない可能性が高いです。


早期発見で未来の関節を守る

大腿骨頭すべり症は、早く見つけて適切に治療すれば治る病気です。
痛みを我慢して運動を続けてしまうと、
将来的に関節が変形して一生の問題になってしまうことも。

「最近歩き方がおかしい」「股関節の動きが悪い」など、
小さな変化に気づいたときが、受診のタイミングです。


まとめ|“早めの受診”が何よりの予防

子どもの股関節痛は「成長だから」と見過ごされがちですが、
早期発見で将来の関節を守れる病気があることを知っておきましょう。

阿部整形外科クリニックでは、成長期の股関節の痛みにも力を入れています。
MRIによる正確な診断と、再発予防のためのリハビリサポートを行っています。

「足のつけねが痛い」「歩き方が変」そんなときは早めの受診を。

 阿部整形外科クリニックでは、成長期の股関節疾患(大腿骨頭すべり症など)に対して、
専門医による診断と治療・リハビリを行っています。

▶ 来院予約・お問い合わせはこちら
▶ 股関節の治療について詳しく


この記事の監修者

阿部 瑞洋(あべ みずひろ)
整形外科専門医/阿部整形外科クリニック 院長(東京都三鷹市・武蔵境)
股関節・膝関節を中心に、成長期から高齢者まで幅広い診療を行う。
「患者さんが生涯、自分の足で歩ける医療を」モットーに地域医療に貢献。
阿部整形外科クリニック公式サイト

この記事を執筆した人

阿部 瑞洋 医師

  • 整形外科専門医
  • 股関節専門医

一般社団法人エンジョイワーク 阿部整形外科クリニック 院長。
股関節・膝関節の保存療法および再生医療に精通し、年間延べ3万人以上の患者様の診療実績を持つ。最新の医療と親身なカウンセリングで、地域医療に貢献している。

股関節の再生医療PRP療法|阿部整形外科クリニック

原因、症状
シェアする
阿部整形外科クリニック 院長 阿部 瑞洋をフォローする
タイトルとURLをコピーしました